Técnica radiográfica
Es complemento del examen físico pulmonar. Paciente de frente y de perfil: 1,8 a 2 m de distancia foco – placa, de pie, en apnea inspiratoria y con el rayo posteroanterior.
En general se toma de perfil derecho en patologías pulmonares e izquierda en cardiacas.
Otras formas de examen:
|
Lordótica
|
Mejora la visión de la língula y lobo medio, así como el segmento apical y posterior del lobo superior y vértices pulmonares. Las clavículas quedan fuera del campo pulmonar. |
|
Decúbito lateral con rayo horizontal
|
Derrames pleurales libres, detección de un pequeño neumotórax no demostrado en espiración y demostración de límites y movilidad del contenido de una cavidad. |
| Oblicuas |
Agrandamiento de cámaras cardíacas.
|
| Descentrada de vértices |
Mejora la visión de los vértices.
|
| En espiración |
Neumotórax o atrapamientos de aire.
|
La formación de la imagen depende de:
- Densidad radiográfica: Según la cantidad de rayos que impregna la placa radiográfica.
- Grosor del medio atravesado y posición de los rayos (materiales de distintas densidades y grosores pueden ser similares en la rx).
- Contraste de interfase.
Condiciones técnicas
– Penetración: Columna visible a través del corazón. (Se describe como dura o blanda según si está muy o deficientemente penetrada, respectivamente).
– Inspiración: Visualizar 10 a 11 costillas posteriores.
– Centraje: Los procesos espinosos deben quedar equidistantes a los extremos mediales de las clavículas. Las escápulas deben estar desproyectadas.
– Magnificación: Evaluación del tamaño cardio mediastínico. Debe haber completitud, es decir, que la rx incluya los recesos y vértices pulmonares.
– Angulación: Normalmente las clavículas tienen configuración de “S” y se superponen a la 3ra o 4ta costilla.
*Las costillas posteriores son más claramente visibles a primera vista en las radiografías torácicas frontales.
Evaluación ABCDE
1. Tráquea: La bifurcación bronquial >100º es patológica.
2. Respiratorio: Los campos pulmonares deben tener expansión y volumen similar. Las áreas deben ser simétricas. Se evalúan también los márgenes laterales, hemidiafragmas, silueta cardiaca y área retrocardiaca. Las cúpulas diafragmáticas normales se estiman a la altura del 10mo y 11vo arco costal superior. Entre los criterios de hiperinsuflación se encuentran:
3. Corazón y Mediastino:Se evalúa posición cardiaca, índice cardiotorácico: ADULTO <0,5; LACTANTES <0,65 y ESCOLARES <0,6. La causa más frecuente de su aumento aparente es la presencia de gases epipericárdicos. Evalúa además el arco aórtico y mediastino superior, ventana aorto pulmonar, vasos hiliares, hernia de hiato.
4. Fracturas: De costillas, hombres, clavículas y cuerpos vertebrales.
5. Otros: Neuroperitoneo, alteraciones de tejidos blandos y mamas.
Rx patológica
En una lesión debe considerarse siempre: tamaño, características de la pared, número de lesiones, contenido, alteración en el parénquima vecino y mediastino.
- Afectación focal o multifocal:
- Nódulo pulmonar solitario: Opacidad pulmonar definida convencionalmente como menor a 3 cm de diámetro. Redondeada u ovoide y rodeada de pulmón ventilado, sin adenopatía hiliar asociada. Generalmente es un hallazgo casual y debe investigarse rápidamente su malignidad y etiología. Son sugerentes de benignidad la estabilidad temporal, la presencia de calcificaciones de patrón benigno no amorfo, el tamaño y grosor de la pared pequeños y los contornos suaves, lisos y regulares.
- Masa pulmonar:Opacidades mayores a 4 cm, en general de causa neoproliferativa.
- Nódulos pulmonares múltiples: Pueden también ser o no malignos. Se debe descartar posibles metástasis pulmonares.
- Opacidad pulmonar:
- Segmentaria, lobar o de un hemitórax: Además de patrones nodulares y las masas pulmonares, la opacidad pulmonar incluye el patrón de condensación y parenquimatosa.
–Patrón alveolar o consolidativo: afectación del espacio aéreo distal con trasudado, exudado, proteínas, sangre, células, detritos. Suele presentar límites escasamente definidos, nódulos acinares (típica en diseminación endobronquial de la TBC) y broncograma aéreo.
–Hemitórax opaco: Puede existir: retracción o desplazamiento del mediastino, elevación o descenso del hemidiafragma, disminución de los espacios intercostales; que son sugerentes de derrame pleural o atelectasia masiva del hemitórax.
b. Asociada con pérdida de volumen: Atelectasia de todo el pulmón, un lobo, segmento o subsegmentaria. La clasificación de las atelectasias se realiza de acuerdo al mecanismo: obstructivo (intraluminal o por compresión extrínseca) o pasivas por aumento de la presión en la cavidad pleural por líquido o aire; o de acuerdo a la localización: central o periférica. La atelectasia pasiva ocurre frecuentemente en pacientes con derrame pleural.
- Lesiones cavitarias o quísticas:
Zonas de mayor radiolucidez por una lesión de parénquima reemplazado con contenido aéreo. En general se desarrollan luego de la existencia de necrosis con expulsión del material por los bronquios de drenaje. La necrosis puede obedecer a: procesos inflamatorios o infecciosos o ser secundaria a carcinoma.
- Afectación focal o multifocal: Puede dividirse en:
- Agudo: Días.
- Subagudo: Lapso intermedio.
- Crónico: No cambia en un periodo de 8 semanas.
Patrones radiológicos:
- Patrón alveolar: Fundamentalmente en relación a patologías pulmonares donde se desarrollan espacios aéreos delimitados por finas paredes.
- Patrón intersticial: Compromiso reticular, lineal o nodular.
- Hiperclaridad pulmonar: Focal regional o difusa. Por atrapamiento aéreo o destrucción del parénquima: Enfisema, neumotórax.
*Difusa bilateral: bronquitis crónica, enfisema, bronquiectasias.
* Unilateral: Neumotórax.
- Alteración hiliar (uni o bilateral): Del tamaño, densidad o posición.
- Alteración del mediastino: Unilateral o bilateral, localizada o difusa.
- Alteración pleural.
|
Signos de condensación:
|
|
Signos de patrones radiológicos:
|
RADIOGRAFÍAS PATOLÓGICAS:
|
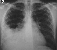
NEUMONÍA Opacidad no homogénea de bordes mal definidos. Broncograma aéreo (signo de condensación). |
DERRAME PLEURAL Radiopacidad que se distribuye hacia abajo si el paciente está de pie, con curva de Damoisseau. |
|
ENFISEMA El aplanamiento del diafragma es el signo más precoz de hiperinsuflación. También hay horizontalización de las costillas, aumento de la altura de los espacios intercostales, tórax en tonel y disminución del tamaño de la silueta cardiaca.
ATELECTASIA Opacidad y retracción hacia sí de las estructuras. |
ABSCESO PULMONAR Lesión focal con nivel hidroaéreo.
NEUMOTÓRAX IZQUIERDO A TENSIÓN Hiperclaridad o radiolucidez del hemitórax izquierdo, no hay trama vascular. Desplazamiento a contralateral. |
|
CRECIMIENTO DE CAVIDADES IZQUIERDAS |
ESTENOSIS MITRAL |
|
BOCIO Y DESPLAZAMIENTO TRAQUEAL |
METÁSTASIS Crecimiento nodular en los pulmones. |
|
NEUMOPERITONEO Aire bajo el diafragma en la cavidad peritoneal por ruptura de víscera hueca o trauma. |
TBC MILIAR Distribución como ”milia” (semillas) en el intersticio (más pequeñas que los nódulos metastásicos). El diagnóstico de TBS se realiza midiendo los niveles de Adenosin Deaminasa (ADA). También se realiza baciloctopía, cultivo de kock. La tos está presente siempre >15 días. |
![]() |
QUISTE HIDATÍDICO Radio opacidad ovoidea bien delimitada de contenido homogéneo sin nivel hidroaéreo. No puncionar porque puede provocar shock anafiláctico. |


















