HERNIA HIATAL
Definiciones
Corresponde a la protrusión de cualquier estructura no esofágica a través del hiato esofágico, cuyo contenido abdominal está cubierto por saco peritoneal.
Actualmente se clasifican las hernias hiatales en 4 tipos, según sus hallazgos imagenológicos:
- Tipo I: deslizamiento axial de un segmento gástrico junto con la unión gastroesofágica
- Tipo II: desplazamiento del fondo gástrico, con unión gastroesofágica in situ (hernia paraesofágica)
- Tipo III: combinación de tipo I y II
- Tipo IV: presencia de otras estructuras además de estómago (omento, colon, intestino delgado, hígado)

El término “hernia gigante” es común de encontrar en la literatura y suele hacer referencia a los tipos III y IV, si bien no existe consenso al respecto. En general se considera “hernia gigante” aquella en que existe más de 50% del estómago en el tórax.
Epidemiología
Alrededor del 95% de las hernias hiatales son tipo I. De las hernias paraesofágicas (5% restante), más del 90% corresponden a hernias hiatales tipo III, siendo las hernias hiatales tipo II las menos frecuentes.
Etiología
Se han asociado factores como el trauma, malformaciones congénitas y iatrogenia con los pacientes con hernias tipo I. Las hernias tipo II, III y IV se asocian a complicaciones de procedimientos quirúrgicos como la cirugía antirreflujo, esofagomiotomías y gastrectomía subtotal.
Clínica
Las manifestaciones clínicas van desde el paciente asintomático, pasando por síntomas inespecíficos como disconfort retroesternal o epigástrico, náuseas o leve disnea. La gran mayoría de los pacientes refiere síntomas relacionados con el reflujo gastroesofágico.
Algunos pacientes con hernias tipo II, III o IV, además de los síntomas mencionados anteriormente pueden manifestar anemia, saciedad precoz, taquicardia o trastornos del ritmo cardíaco. En aproximadamente un tercio de estos pacientes pueden ocurrir complicaciones como vólvulos gástricos, estrangulación, estenosis, úlceras gástricas, anemia crónica, síndrome de retención gástrica, necrosis gástrica, o neumonías respiratorias graves. Si se presenta hemorragia digestiva alta se debe sospechar isquemia, estrangulación o perforación del órgano.
En un estudio realizado por Csendes et al. se demostró que pacientes con hernia hiatal tipo I y III se acompañan en una alta frecuencia con síntomas de reflujo GE, mientras que pacientes con hernias tipo II y IV se acompañan de mayor frecuencia con síntomas mecánicos1.
Diagnóstico y estudio
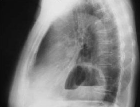
Para la confirmación diagnóstica se debe realizar una radiografía de tórax, en la que se puede encontrar sombra retrocardiaca. El uso de contraste es necesario para demostrar el tipo de hernia, el tamaño y la anatomía gástrica. Una hernia por desplazamiento se caracteriza por una distancia mayor a 2 centímetros entre el anillo correspondiente a la línea Z y el hiato diafragmático. Se puede visualizar parte del fondo gástrico herniado al lado del esófago distal en casos de hernias paraesofágicas.

El diagnóstico endoscópico de hernia hiatal se hace por el desplazamiento de al menos 2 cm de los pliegues gástricos por sobre el hiato diafragmático durante una respiración quieta. En una hernia hiatal verdadera, después del cambio de mucosas (primer anillo que se encuentra al examen endoscópico) se cae en una cámara de tipo sacular y no tubular, con pliegues gástricos emergentes de un segundo anillo de mayor diámetro aún que comunica con el segmento de estómago distal intraabdominal y que corresponde a la impresión hiatal dilatada2. En pacientes con hernia paraesofágica, la retrovisión muestra una porción de estómago herniándose a través del diafragma, adyacente al endoscopio.
Ante la presencia de síntomas de reflujo gastroesofágico debe realizarse un estudio manométrico y monitoreo de pH intraesofágico de 24 h que muestran un esfínter gastroesofágico hipotenso, corto y sin esfínter intraabdominal2. Por lo general, la utilidad del monitoreo de pH es limitada.
El uso de tomografía computada se reserva para aquellos casos urgentes en que se sospechan complicaciones.
Tratamiento
El tratamiento de elección es la cirugía, aunque existe controversia en la literatura sobre sus indicaciones. Se ha visto que existe un 30% más de probabilidad para desarrollar alguna complicación en pacientes con manejo conservador. Se ha observado además que la mortalidad asociada a un tratamiento quirúrgico de urgencia varía entre el 17 a 54%, mientras que la cirugía electiva muestra alrededor de un 1,3% de mortalidad operatoria.
La guía SAGES para manejo de la hernia hiatal establece como indicación quirúrgica:
- Hernias paraesofágicas sintomáticas
- Hernia paraesofágica complicada
- Hernia paraesofágica asintomática según criterio médico
- No se recomienda en hernias esofágicas por desplazamiento en ausencia de reflujo gastroesofágico.
En cuanto a la técnica quirúrgica se ha visto que tanto el abordaje torácico y abdominal son igual de efectivos. Sin embargo, la vía laparoscópica tiene una marcada menor morbilidad asociada que la vía abierta. Si bien ambas son igual de efectivas, la vía laparoscópica tiene menor morbilidad postoperatoria y una menor estadía hospitalaria.
En aquellas hernias paraesofágicas, se recomienda realizar disección del saco herniario alejado de estructuras mediastínicas.
El uso de malla como refuerzo al procedimiento se relaciona con una disminución de la recurrencia a corto plazo en aquellas hernias paraesofágicas.
Bibliografía
- Csendes, A., Braghetto, I., Burgos, A. M., & Henríquez, A. (2013). Síntomas, hallazgos radiológicos, endoscópicos y estudios funcionales del esófago en pacientes con hernia hiatal mayor a 5 cm. Revista chilena de cirugía, 65(5), 402-408.
- Braghetto Miranda, I., Korn Bruzzone, O., Burdiles Pinto, P., Debandi Lizárraga, A., Valladares, H., & Brunett Lachaise, L. (2002). Hernias hiatales verdaderas: tratamiento quirúrgico por vía laparoscópica. Rev. chil. cir, 54(6), 628-638.
- Kohn, G. P., Price, R. R., DeMeester, S. R., Zehetner, J., Muensterer, O. J., Awad, Z., … & SAGES Guidelines Committee. (2013). Guidelines for the management of hiatal hernia. Surgical endoscopy, 27(12), 4409-4428.
- Braghetto, I., Csendes, A., Korn, O., Musleh, M., Lanzarini, E., Saure, A., … & Valladares, H. (2013). Hernias hiatales: ¿cuándo y por qué deben ser operadas? Cirugía Española, 91(7), 438-443.

